当前位置:肿瘤瞭望>资讯>研究>正文

优例共赏丨IV期肝内胆管癌跨线使用斯鲁利单抗联合靶向治疗的病例分享

作者:肿瘤瞭望   日期:2023/11/10 11:34:11  浏览量:11784

肿瘤瞭望版权所有,谢绝任何形式转载,侵犯版权者必予法律追究。

胆管癌(cholangiocarcinoma,CCA)是一种起源于胆管的侵袭性肿瘤,,是第二常见的原发性肝癌[1,2]。其发病率在全球范围内呈上升趋势,目前占所有原发性肝癌的约15%,占胃肠道恶性肿瘤的约3%[2,3]。

摘要:胆管癌(cholangiocarcinoma,CCA)是一种起源于胆管的侵袭性肿瘤,,是第二常见的原发性肝癌[1,2]。其发病率在全球范围内呈上升趋势,目前占所有原发性肝癌的约15%,占胃肠道恶性肿瘤的约3%[2,3]
 
大多数患者确诊病情时疾病已进展到晚期,无法进行根治性手术治疗[4]。胆管癌患者的5年总生存率低于8%,在疾病晚期的患者中,中位总生存率约为1年[5,6]
 
由于晚期胆管癌预后差,化疗、放疗和介入治疗疗效均不佳,需要新的治疗策略。近年部分研究显示免疫联合化疗或靶向治疗可以为晚期胆管癌患者带来生存获益。下面分享一例晚期胆管癌患者经过斯鲁利单抗联合靶向治疗及化疗后,最佳疗效达到部分缓解(PR),无进展生存期(PFS)>9个月,且患者仍在持续获益治疗中。
 
病例作者
赵文立
东莞松山湖东华医院肿瘤内科主治医师
肿瘤学硕士毕业于广州医科大学
广东省精准医学应用学会肿瘤综合治疗分会委员
广州抗癌协会肿瘤支持与康复治疗专业委员会委员
广东省药学会肿瘤全程管理专家委员会委员
 
病例介绍
 
一、基本情况
 
患者:女,63岁
 
主诉:右上腹痛1月余。
 
既往史:体健,否认高血压、糖尿病、冠心病等慢性疾病史,否认肝炎、结核等慢性传染病史。
 
个人史:无吸烟、饮酒史。
 
家族史:否认肿瘤家族史。
 
二、体征及辅助检查
 
1.体格检查:
 
ECOG评分1分。NRS评分3分。浅表淋巴结未及肿大。双肺呼吸音清,未闻及干湿性啰音及病理性呼吸音。心律齐,各瓣膜听诊区未闻及病理性杂音及异常心音。腹部饱满,未见胃肠型,腹软,肝下缘于肋下4指可触及,质硬,边缘不规则,无触痛,脾肋下未触及,右上腹压痛,无反跳痛,无肌紧张。腹部叩诊无移动性浊音。双下肢无水肿。
 
2.辅助检查:
 
血常规、生化、凝血功能、甲状腺功能、心肌酶谱等未见明显异常。
 
肿瘤标记物:AFP 3.53 IU/mL,PIVK-II 31.23mAU/mL,CA19-9 7.03 IU/mL,CEA29.52 ng/mL。
 
3.影像学检查:
 
2022-10-9中南大学湘雅二院行PET/CT:肝左内叶和右前叶糖代谢增高肿块(最大横截面积10*8cm,SUVmax17.9),考虑恶性肿瘤(肝癌?胆囊癌累及肝脏?),累及胆囊及结肠肝曲及周围腹膜腔。肝门、门腔静脉间、右中腹(大网膜走行区)多发糖代谢增高的肿大淋巴结(大者约13*20mm,SUVmax 8.6),考虑淋巴结转移。盆腔子宫左后方糖代谢增高结节灶(最大横截面积15*14mm,SUVmax11.3),考虑转移所致(卵巢转移?腹膜转移)。
 
2022-0-14肝胆彩超:肝内实性占位(大小约104*70mm),行超声引导下肝肿物(S5)穿刺活检术。
 
2022-10-17病理结果:(肝穿刺)镜检为癌伴坏死,形态学考虑肝细胞癌可能。免疫组化:癌细胞Glypican-3(-),HSP70(部分+),CK19(弥漫+),Hepatocyte(-)。形态学考虑胆管细胞癌。
 
2022-10-9中南大学湘雅二院PET/CT
 
2022-10-4肝胆脾胰彩超报告
 
2022-10-7(肝肿物穿刺活检)病理报告
 
三、诊断结果
 
1.肝内胆管细胞癌Ⅳ期(侵犯胆囊、结肠肝区及周围腹膜)
 
2.腹腔淋巴结继发恶性肿瘤
 
3.肝部继发恶性肿瘤
 
4.盆腔继发恶性肿瘤
 
四、治疗经过
 
▌一线治疗:
 
根据患者肿瘤分期,不推荐手术治疗和放疗,建议一线化疗(可联合免疫治疗),患者明确拒绝静脉化疗。
 
2022-10-20、11-10予“斯鲁利单抗(200mg,Q3W)”免疫治疗联合“甲磺酸仑伐替尼胶囊(8mg QD)”靶向治疗,口服非甾体类止痛药。
 
2022-11-30复查胸腹CT提示进展(PD)。
 
 
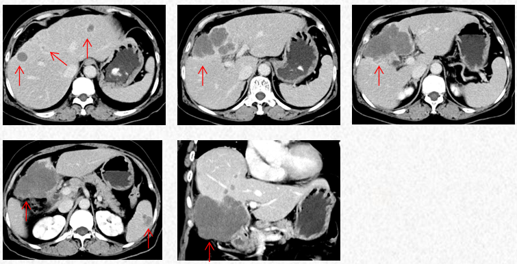
2022-11-30胸腹CT:肝肿物最大横截面积107*80mm(原病灶10*8cm),腹腔淋巴结最大10mm。新发脾脏转移瘤大小27*15mm。
 
▌二线治疗:
 
2022-12-01方案:斯鲁利单抗(200mg,Q3W)+安罗替尼(12mg QD,吃2周停1周)+卡培他滨(1g bid,D1-14)。右上腹痛较前逐渐减轻,第3疗程开始无需口服止痛药。
 
2023-3-19复查胸腹CT图片,最佳疗效评估为PR。
 
2023-5-22复查胸腹CT图片,疗效评估为SD,出现轻度双上肢麻木,可耐受。
 
2023-7-15复查胸腹CT图片,疗效评估为SD,轻度双上肢麻木,生活不受影响。
 
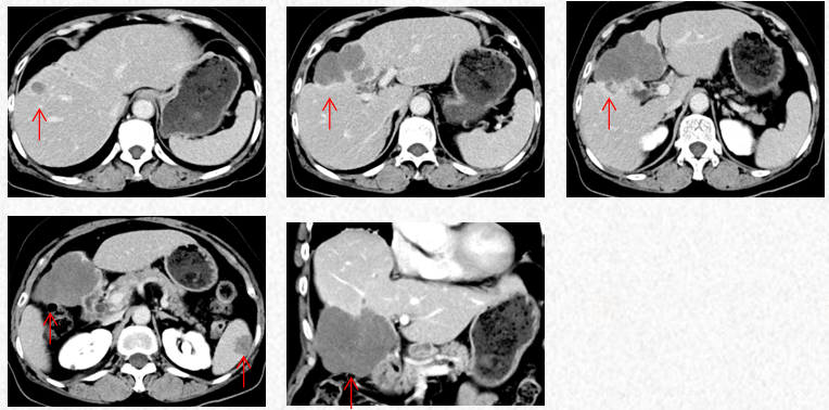
2023-3-19胸腹CT:肝肿物最大横截面积91*60mm,脾脏转移瘤(19*12mm)
 
2023-5-22胸腹CT:肝肿物最大横截面积86*58mm,脾脏转移瘤(19*12mm)
 
2023-7-15胸腹CT:肝肿物最大横截面积86*58mm,脾脏转移瘤(19*12mm)
 
肿瘤标记物变化
 
▌病例小结:
 
在该例胆管癌治疗过程中,患者于2022年10月确诊为肝内胆管细胞癌IV期,肿瘤侵犯胆囊、结肠肝区及周围腹膜,且伴腹腔淋巴结、肝内、盆腔转移。患者拒绝使用一线GP或者GEMOX方案静脉化疗,一线采用斯鲁利单抗联合甲磺酸仑伐替尼治疗2个周期,疗效评估为PD,二线采用斯鲁利单抗联合安罗替尼和卡培他滨治疗,4程后疗效评估为PR,7程、9程后疗效评价为SD,二线方案治疗至今,PFS超过9个月且未达终点。该病例提示对于晚期胆管癌患者,斯鲁利单抗联合安罗替尼联合卡培他滨治疗可以为患者带来一定的生存获益。
 
点评专家
彭玉龙
东莞松山湖东华医院肿瘤内科主任
东莞松山湖东华医院肿瘤内科科主任,主任医师,肿瘤学岭南名医
中国非公立医院协会肿瘤分会常委
广东省医学会肿瘤内科分会委员,广东省抗癌协会分子与靶向专委会委员
广州抗癌协会康复与支持专委会副主委
东莞市抗癌协会副理事长
东莞市医学会肿瘤分会副主任委员
 
病例点评
 
尽管胆管癌发病率相对较低,但近20年全球CCA发病率和死亡率均呈上升趋势(西方国家年发病率0.3~6例/10万人,而东亚地区则超过6例/10万人)[3,7]。由于CCA早期诊断难度较大,很多患者在确诊时已失去手术机会,导致其预后差,5年总生存率(OS)仅7%~20%[8]
 
既往的晚期胆道恶性肿瘤(biliary tract cancer,BTC)治疗,还是以吉西他滨为主的化疗方案:吉西他滨+顺铂、吉西他滨+奥沙利铂,直到TOPAZ-1(NCT03875235)研究[9],实现了免疫联合化疗方案在晚期BTC一线治疗的突破。TOPAZ-1纳入组织学证实的不可切除、局部晚期或转移性胆道系统腺癌患者,包括肝内或肝外胆管癌和胆囊癌,随机分配接受度伐利尤单抗+吉西他滨和顺铂或安慰剂+吉西他滨和顺铂治疗。结果发现,度伐利尤单抗组中位OS为12.8个月,优于安慰剂组的11.5个月(HR,0.80;95%CI,0.66~0.97;P=0.021)。度伐利尤单抗组24个月生存率为24.9%,而对照组为10.4%。亚组分析显示,亚洲患者似乎比非亚洲患者更易从度伐利尤单抗治疗中获益。基于上述研究,2022年7月15日公布的肝胆肿瘤NCCN V2版指南中,针对转移性胆道肿瘤一线治疗,将“度伐利尤单抗+吉西他滨+顺铂”方案由“在某些情况下有用方案”调整为“首选方案”,证据等级也由2B级调整到1级推荐。
 
一项安罗替尼联合信迪利单抗二线治疗胆道肿瘤的单臂、多中心II期临床研究[10]的疗效结果显示:共入组19例受试者,其中17例可进行疗效评估,6例受试者的最佳疗效达到PR,ORR为31.6%,DCR为82.4%,中位PFS为6.5个月(95%CI:3.3-9.7)。该研究结果以壁报形式入选2021年ASCO GI大会基于该研究结果,安罗替尼联合PD-1/PD-L1单抗纳入CSCO指南晚期胆道恶性肿瘤三级推荐。
 
晚期胆道肿瘤至今仍缺乏有效的二线治疗手段,无论是化疗还是靶向治疗或免疫治疗疗效均有限。上述研究结果表明,PD-1/PD-L1单抗联合化疗或联合安罗替尼治疗取得了令人鼓舞的PFS和OS,为这一类难治性肿瘤的二线治疗提供了新的思路。
 
该病例为晚期肝内胆管癌患者,二线接受斯鲁利单抗联合安罗替尼和卡培他滨治疗,安全性和耐受性良好,近期疗效获得PR,PFS超过9个月,目前接受该方案治疗仍在持续获益中,而且患者生活质量良好。自主创新药PD-1抑制剂斯鲁利单抗联合抗血管生成药物和化疗,该方案为晚期胆管癌的后线治疗提供了新的选择。
 
参考文献:
 
1.Krook MA,Lenyo A,Wilberding M,et al.Efficacy of FGFR inhibitors and combination therapies for acquired resistance in FGFR2-fusion cholangiocarcinoma.Mol Cancer Ther 2020;19:847-857.
 
2.Javle M,Lowery M,Shroff RT,et al.Phase II study of BGJ398 in patients with FGFR-altered advanced cholangiocarcinoma.J Clin Oncol 2018;36:276-282.
 
3.Banales,J.M.et al.Expert consensus document:cholangiocarcinoma:current knowledge and future perspectives consensus statement from the European Network for the Study of Cholangiocarcinoma(ENS-CCA).Nat.Rev.Gastroenterol.Hepatol.13,261–280(2016).
 
4.Jain A,Borad MJ,Kelley RK,Wang Y,Abdel-Wahab R,Meric-Bernstam F,et al.
 
Cholangiocarcinoma With FGFR Genetic Aberrations:A Unique Clinical Phenotype.2018(2):1–12
 
doi 10.1200/po.17.00080.
 
5.Valle J,Wasan H,Palmer DH,et al.Cisplatin plus gemcitabine versus gemcitabine for biliary tract cancer.N Engl J Med 2010;362:1273-1281.
 
6.Yu T-H,Chen X,Zhang X-H,Zhang E-C,Sun C-X.Clinicopathological characteristics and prognostic factors for intrahepatic cholangiocarcinoma:a population-based study.Sci Rep 2021;11:3990-3990.
 
7.Bertuccio P,et al.Global trends in mortality from intrahepatic and extrahepatic cholangiocarcinoma.J.Hepatol.2019;71:104–114.
 
8.Lindner P,Rizell M,Hafstrom L.The impact of changed strategies for patients with cholangiocarcinoma in this millenium.HPB Surg.2015;2015:736049.
 
9.Oh DY,Ruth He A,Qin S,et al.Durvalumab plus gemcitabine and cisplatin in advanced biliary tract cancer.NEJM evidence 2022;1:EVIDoa2200015.
 
10.Zong H,Zhong Q,Zhao RH,et al.Phase II study of anlotinib plus sintlimab as second-line treatment for patients with advanced biliary tract cancers.J Clin Oncol,2021,39(suppl):307.

 

 

本内容仅供医学专业人士参考


胆管癌

分享到: 更多